
Аннотация: В высококачественном исследовании, опубликованном в мае 2025 года, исследовательская группа из Департамента питания Военно-морского медицинского университета Народно-освободительной армии разработала новую «систему скрининга»-с использованием модели репортера люциферазы для «мониторинга» активности miR-122, сродни установке «сигнальной лампы» для miR-122. Когда соединение усиливает активность, «сигнальный свет» становится ярче. Впоследствии они провели крупномасштабный высокопроизводительный скрининг 2543 природных соединений, эффективно ища «идеальных партнеров» для miR-122.
После тщательного скрининга дигидроберберин стал выдающимся кандидатом среди 2543 природных соединений: он не только значительно повышает уровень регуляции, но и не проявляет клеточной токсичности, демонстрируя как эффективность, так и безопасность.
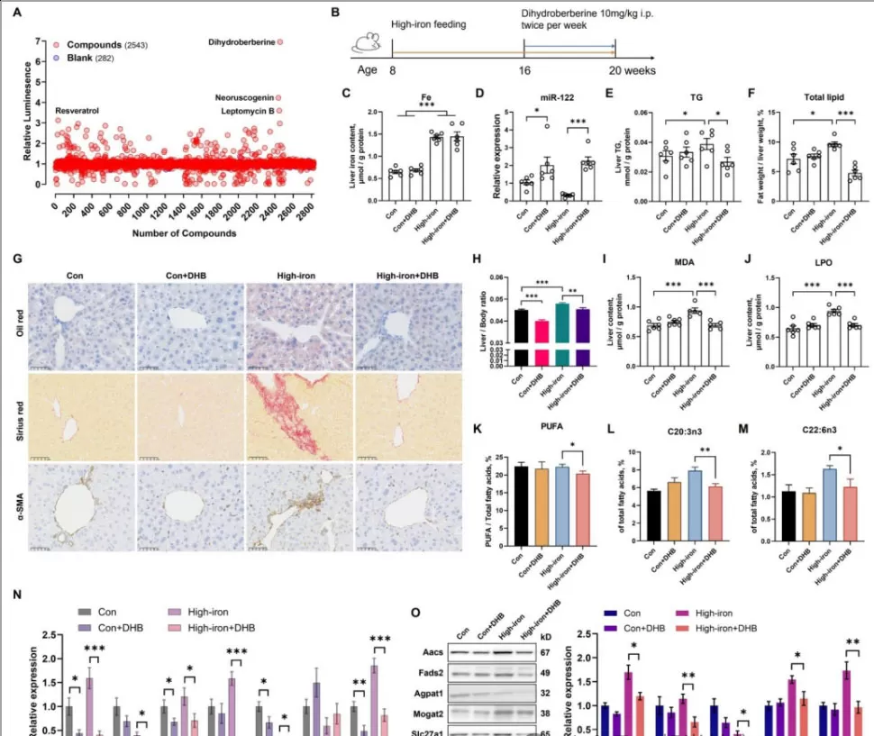
В мышиной модели MASLD (заболевание стеатотической печени, связанное с метаболической дисфункцией), дигидроберберин продемонстрировал замечательные защитные эффекты для печени:
Восстанавливает miR-122 Уровни: Обращает уменьшение, вызванное перегрузкой железом, эффективно реактивируя «регулятор» печени.
Улучшает метаболизм липидов: уменьшает печеночные триглицериды и общее содержание жира, что приводит к заметному «очистке» печени (о чем свидетельствует окрашивание Oil Red O).
Предотвращает окислительное повреждение: снижает уровень маркеров перекисного окисления липидов (например, MDA, LPO), защищая мембраны гепатоцитов от деградации.
Смягчает повреждение печени и фиброз: значительно снижает АЛТ и АСТ (ключевые маркеры повреждения печени) и облегчает прогрессирование фиброза печени.

Рисунок D: Регулирование-Перегрузка железом вызвала резкое снижение экспрессии, в то время как лечение DHB восстановило ее до почти нормального уровня.
Цифры E-H: Улучшение метаболизма липидов-перегрузка железом индуцировала печеночный триглицерид и общее накопление липидов, которые были уменьшены после введения DHB.
Цифры I-J: Окислительное смягчение ущерба-перегрузка железом увеличила окислительные продукты (MDA, LPO и т. Д.), В то время как лечение DHB значительно уменьшило эти маркеры.
Цифры K-M: Восстановление баланса жирных кислот-лечение DHB обратило вспять вызванную перегрузкой железа нарушение регуляции полиненасыщенных жирных кислот и восстановило полезные соотношения жирных кислот.
Рисунок N-O: Регулирование белка-перегрузка железом нарушила экспрессию белков, связанных с липогенезом, которая была нормализована вмешательством DHB.
Среди 2543 обследованных соединений дигидроберберин (DHB) выделялся не случайно, а демонстрируя как самую сильную регуляцию, так и идеальную клеточную биосовместимость-критическую основу для клинического перевода.
Перегрузка железа повреждает печень через определенный каскад:
Перегрузка железом → крушение → нерегулируемые липогенные белки → окислительный стресс накопления липидов → обострение заболевания печени.
DHB прерывает этот порочный круг путем:
Добавки DHB → miR-122 восстановление → подавленные липогенные белки → снижение отложения липидов смягчило окислительное повреждение → печеночное «охлаждение».
Исследование убедительно демонстрирует, что DHB:
Upregulates miR-122 для подавления вредных генов (например, Aacs, Fads2, CYPs), стимулирующих липогенез и окисление
Фундаментально ломает петлю обратной связи «перегрузка железом → метаболическая дисфункция»
Предлагает двойное действие-метаболическую регуляцию и гепатопротекцию-для населения, страдающего от перегрузки железом и MASLD
От выяснения того, как железо и miR-122 синергически вредят печени, до выявления DHB посредством систематического подкожногоЭто исследование освещает многообещающий терапевтический путь для вмешательства MASLD.
Ссылки:
Юйсяо Тан 1, Зелун Гао и др. Нарушение синергизма перегрузки железа и miR-122 для спасения накопления липидов и перекисного окисления в MASLD. Фармакол Рес. 2025 Май: 215:107728.